Advanced Solution for Failed Knee Implants
Knee replacement is among the safest and most successful surgical procedures. With this intervention, most patients can get back to their active and pain-free lives. On the other hand, mechanical issues like loosening, infection, or wear and tear might eventually cause a knee replacement implant to fail. Day-to-day tasks again become more challenging as the knee implant starts failing, causing pain, swelling, stiffness, or instability.
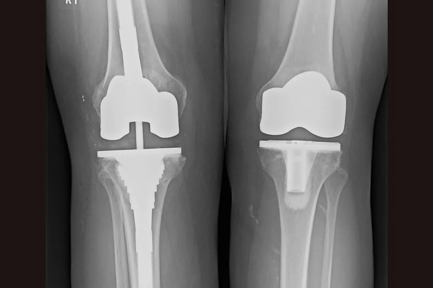
Revision knee replacement surgery is often considered when the implant starts to wear off, and your knee starts to pain again. The damaged implant is being replaced with the new one. Also, the damaged joint parts are repaired with specialised components. These procedures restore stability, relieve pain, and improve joint function.

Revision knee replacement is a complex procedure that is carried out to replace one or more components of the previously placed knee implant. Only those parts are removed and replaced that are worn out or damaged. Our specialists are highly experienced to carry out all types of revision surgeries, ranging from single worn or loose components to advanced implant damage involving all the components—femoral, tibial, and patellar.
Due to these challenges, revision surgery necessitates meticulous planning before the procedure and highly skilled surgical abilities. Dr. Ishwar and his expert team have years of experience in carrying out such revision surgeries with the required surgical abilities, resulting in high success rates.

If you experience the following symptoms even after knee replacement surgery, revision knee replacement may be considered:
After a thorough clinical evaluation, imaging examination, and blood testing, your doctor will determine the reason for implant failure and whether revision surgery is necessary.
The following are the conditions that can lead to knee replacement failure and may necessitate revision surgery:
A revision knee replacement may be suggested only if non-surgical methods of symptom relief, like injections, bracing, physical therapy, or medication, do not work.

There are several components of a total knee implant (artificial joint or prosthesis), and each has a specific function:
Implant selection mainly depends on the following factors:
The following are the techniques used for revision knee replacement, depending on patient needs and type of damage:
The choice of technique is determined by the type of joint deformity, bone structure, and surgical planning.
The following factors make an individual eligible for revision knee replacement:
Functional limitation, joint condition, and age determine your eligibility for revision knee replacement.

Revision knee replacement may take longer than primary surgery. It may last several hours. The procedure includes:
Longer hospital stay
Pain management for a longer duration
Need for early physiotherapy
Gradual improvement in mobility and endurance
#Robotic Joint Replacement and Arthroscopic
Dr. Ishwar Bohra is currently the Senior Director at BLK-Max Hospital with over 24 years of experience in Joint Replacement and Arthroscopic.

A: Yes, it is safe. Since it's more complex, there is a higher risk of complications.
A: Recovery after revision surgery is longer and gradual. It may take several months for complete recovery.
A: Yes, many revision implants function well for years, especially with proper follow-up and activity modification.