Targeted Surgical Care for Partial Knee Joint Damage
Are you suffering from knee pain while walking, moving up stairs, or standing for long durations? The pain, swelling, and stiffness are often due to wear of the protective cartilage of the knee.
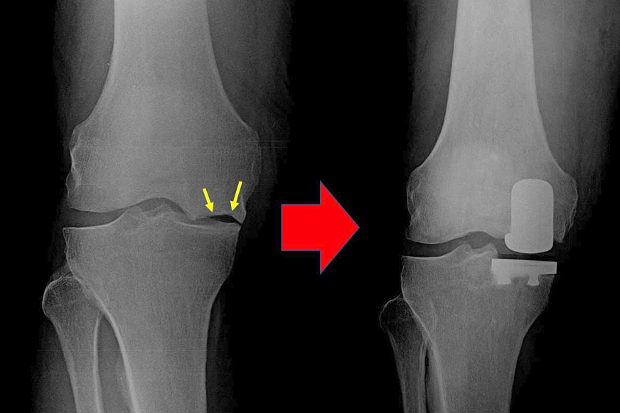
Your doctor may recommend knee replacement surgery to you after other non-surgical methods fail to provide relief. But not all such issues necessitate complete knee joint replacement. If damage is not widespread and limited only to one component of the knee joint, then healthy joint components are preserved with the partial knee replacement surgery.
This effective treatment option is often recommended for early-stage knee joint degeneration in which damage is of moderate levels and is localised. The outcomes of this treatment are more favourable if the overall knee stability and alignment are still preserved.

Partial knee replacement (PKR) is also called unicompartmental knee replacement because in this surgical procedure only the damaged portion of the knee joint is replaced with an artificial implant.
The following tissues are preserved in this joint replacement procedure:
We understand the fact that everybody is different; so are everyone’s knee joints and the associated issues. Our specialists select the patient-specific implant designs that support natural joint movements without pain and swelling by providing intact joint surfaces.

Early-stage knee damage can be stopped from progressing and can be effectively reversed with non-surgical conservative treatment options such as medications, supplementation, physiotherapy, weight management, and injections. If these treatments fail or are no longer effective for relieving pain, knee replacement may be recommended. Your orthopaedic surgeon may consider partial knee replacement if:
Your doctor will recommend PKR on the basis of thorough symptom analysis, cause of knee damage, clinical examination, imaging test reports, and patient activity requirements.
The following are the conditions that may lead to knee joint damage and necessitate partial knee replacement:

The following are the types of specialised implants designed to fit only the affected part of the knee joint:
The objective is to preserve natural knee joint tissue as much as possible. Therefore, only a few components are used.
Implant selection mainly depends on the following factors:
The following are the techniques used for partial knee replacement, depending on patient needs and type of damage:
The choice of technique is determined by the type of joint deformity, bone structure, and surgical planning.
You may be considered a good candidate if you have:
Patient age, activity expectations, and joint condition are carefully evaluated.

The surgery is usually completed between one and two hours. The damaged bone and cartilage are taken out during the procedure, and bone cement or press-fit techniques are used to fix the implants. Before closing, the alignment and stability of the joint are checked.
The patient may expect the following outcomes after the surgery:
Improved mobility with minimal support
Better walking endurance and reduced pain
Return to most daily activities
#Robotic Joint Replacement and Arthroscopic
Dr. Ishwar Bohra is currently the Senior Director at BLK-Max Hospital with over 24 years of experience in Joint Replacement and Arthroscopic.

A: It is a long-term solution for localised knee damage, though progression in other compartments may require future treatment.
A: Most patients begin walking with assistance within 24 hours.
A: Yes, if arthritis progresses, conversion to total knee replacement is possible.